内分泌器官
2026年01月14日
第二节 内分泌器官

图578 垂体
Hypophysis

图579 松果体
Pineal body

图580 甲状腺(前面观)
Thyroid gland (anterior aspect)

图581 甲状腺(后面观)
Thyroid gland (posterior aspect)

图582 肾上腺
Adrenal gland

图583 胸腺
Thymus

图584 胰腺
Pancreas

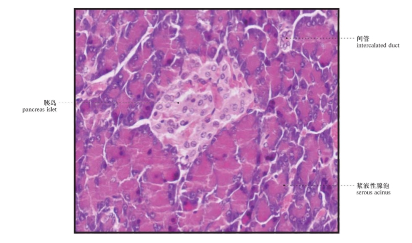
图585 胰岛(人胰腺,×400)
Pancreas islet (human pancreas, ×400)

图586 睾丸
Testis

图587 卵巢
Ovary