导文网
搜索
首页>
图书频道>
理学>
生物科学
甲状旁腺的位置与形态
2025年09月26日
版权
一、甲状旁腺的位置与形态
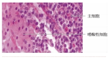
甲状旁腺位于甲状腺侧叶的背面,通常靠近甲状腺两侧叶的后缘(图13-4-1),有上下两对,呈扁椭圆形,棕黄色,似黄豆大小。
图13-4-1 甲状旁腺
图13-4-2 甲状旁腺微细结构光镜图
上一章
下一章
目录