5.2.1 基于体素的形态学分析
以往在测量脑灰质体积的过程中,研究人员需要手动勾画特定的感兴趣区(region of interest,ROI),导致结果主观且耗时费力。与传统的ROI测量相比,VBM可以自动对脑灰质体积进行体素级定量分析,且研究范围覆盖全脑,并不局限于单个脑区,它将全脑分割成脑灰质、脑白质与脑脊液等组织,并通过组间对比得出脑灰质体积有差异的体素。通过观察各个脑区灰质体积的差异,有助于发现脑结构的微小病灶,为研究神经系统疾病对脑结构的影响提供重要信息。
VBM处理可以采用SPM软件实现,处理过程如下。
(1)将图像转换成nii格式。
(2)空间标准化:由于研究对象在大脑结构上的差异,需要把不同大脑图像进行空间标准化处理,即将其转化为大小和方向都相同的标准化图像,使其处于同一个标准的三维立体空间,具有同样的坐标系统。VBM是以蒙特利尔神经学研究所研发的大脑图谱分析系统国际协会(International Consortium for Brain Mapping,ICBM)152人标准脑图谱进行标准化的,通过标准化避免了个体差异的影响。
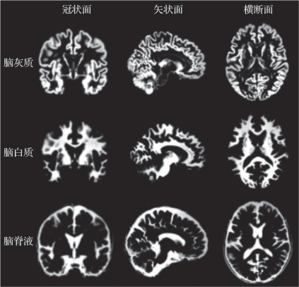
(3)脑组织分割:SPM软件对于经过标准化的个体脑图像,按照每种成分的不同,灰度值将脑组织分割成灰质图、白质图和脑脊液图(图5.16),VBM方法主要是对每个体素的灰质图和白质图进行浓度与体积的定量分析。(https://www.daowen.com)
(4)图像调制(modulation):将Jacobian矩阵与配准后图像的灰度值相乘,以保留原始图像的灰质体积信息。

图5.16 脑组织分割
(5)图像平滑:图像中不可避免地存在噪声,图像平滑的目的是减少噪声,提高信噪比;平滑使被试间的比较在合理的空间标度范围内进行,便于被试间的平均化;平滑也使得数据更加接近随机场模型,增加了参数统计检验的有效性。
(6)统计分析:根据研究目的和被试入组采取适合的统计模型。例如,观察两组之间的灰质体积差异,采用双样本t检验得到统计参数图,然后指定显著性水平做统计推断,结果显示组间存在显著性差异的灰质体积和分布。若组数达到三组或三组以上,推荐使用方差分析。