一、固有结缔组织
固有结缔组织按其结构和功能的不同分为疏松结缔组织、致密结缔组织、脂肪组织和网状组织。
(一)疏松结缔组织
疏松结缔组织是由细胞、基质和纤维构成。其主要的结构特点是细胞少,而基质多,纤维较少且排列稀疏,故称疏松结缔组织(图3-2-1)。该组织在体内分布最广泛。

图3-2-1 疏松结缔组织铺片(高倍镜)
1.细胞 在疏松结缔组织中,虽然细胞数量少,但种类多。有成纤维细胞、巨噬细胞、肥大细胞、浆细胞、脂肪细胞和未分化间充质细胞等(图3-2-2,表3-2-1)。

图3-2-2 疏松结缔组织模式图
表3-2-1 疏松结缔组织各种细胞的结构与功能

(续表)

拓展视野
花粉与过敏
春天来了,人内心深处与大自然的亲和力常常驱使我们不由自主走向花草、树木茂盛的地方。然而,也会有不和谐的事发生。在那“乱花渐欲迷人眼”的地方,个别人流眼泪和鼻涕,打喷嚏,甚至喘不过气来;有的人浑身冒红肿块,奇痒难忍。这些都是过敏反应。有些花粉对某些人是过敏原,他们吸入这些花粉后母体内浆细胞便受到刺激,产生了一种称IgE的抗体。每个肥大细胞表面有105~106个IgE受体。当IgE与肥大细胞的IgE受体结合后,机体便对该过敏原处于致敏状态。当人再次吸入相同的花粉时,这种过敏原便与结合在肥大细胞表面的IgE结合,使肥大细胞激活而脱颗粒,释放出组胺、白三烯等物质,引起过敏反应。
2.纤维 疏松结缔组织中的纤维呈细丝状,有胶原纤维、弹性纤维和网状纤维3种(图3-2-1,表3-2-2)。
表3-2-2 疏松结缔组织3种纤维的结构与功能

3.基质 疏松结缔组织的基质较多,呈胶态状,充满于细胞和纤维之间,具有一定的黏稠度。基质的化学成分主要由蛋白多糖、糖蛋白和组织液构成。蛋白多糖是由蛋白质与大量糖胺多糖结合的一种大分子复合物。糖胺多糖包括透明质酸、硫酸软骨素和硫酸角质素等,其中以透明质酸含量最多。
透明质酸是一种曲折盘绕的长链大分子,并通过连接蛋白与其他糖胺多糖相连接,形成具有许多微孔的分子筛(图3-2-3)。分子筛结构具有屏障作用,容许小于孔隙的物质(如水、营养物质、代谢产物和气体分子等)自由通过,而大于孔隙的物质(如病原菌等)不能通过。溶血性链球菌和癌细胞能分泌透明质酸酶,通过分解透明质酸而破坏分子筛结构,导致炎症和癌细胞扩散蔓延。(https://www.daowen.com)

图3-2-3 基质内分子筛的分子结构模式图
基质中还含有少量的组织液,是从毛细血管动脉端渗出的部分液体,然后经毛细血管静脉端或毛细淋巴管回流入血液或淋巴,处于不断更新的动态平衡之中,有利于血液和组织细胞间的物质交换。病理情况下,组织液增多或减少,分别可导致水肿或脱水。
(二)致密结缔组织
致密结缔组织的组成成分与疏松结缔组织相似,但以纤维为主,纤维粗大且排列紧密;细胞较少,主要是成纤维细胞。根据纤维性质和排列方式不同,可分为不规则的致密结缔组织(如真皮和巩膜)和弹性组织(如项韧带和黄韧带)(图3-2-4),以及规则致密结缔组织(如肌腱和腱膜)(图3-2-5)。

图3-2-4 不规则致密结缔组织铺片(高倍镜)

图3-2-5 规则致密结缔组织铺片(高倍镜)
(三)脂肪组织
脂肪组织由大量的脂肪细胞聚集而成,其间有少量的疏松结缔组织将其分割成脂肪小叶(图3-2-6、图3-2-7)。主要分布在皮下组织、网膜和系膜等处。

图3-2-6 脂肪组织(低倍镜)

图3-2-7 脂肪组织(高倍镜)
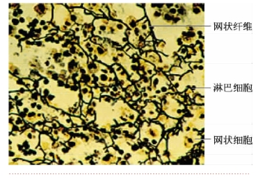
(四)网状组织
网状组织由网状细胞、网状纤维和基质构成。网状细胞呈星形多突,细胞质为弱嗜碱性,核大着色浅,核仁明显。相邻细胞的突起彼此连接成网(图3-2-8)。网状细胞能产生网状纤维,后者沿网状细胞分布,两者共同构成器官的支架。网状组织主要分布在造血器官和淋巴器官内,构成血细胞和淋巴细胞发育的微环境。

图3-2-8 网状组织(高倍镜)