三、胰
胰是人体第二大消化腺。
(一)胰的位置与分部
胰在第1、2腰椎水平横位于腹后壁。
胰分头、体和尾三部(图6-3-10)。胰头较膨大,被十二指肠环绕。胰头后面有胆总管、肝门静脉经过,因此胰头肿大时压迫胆总管可出现阻塞性黄疸;压迫肝门静脉,影响其血液回流,可出现腹水、脾肿大等症状。胰颈是位于胰头与胰体之间的狭窄部分。胰体位于胰颈与胰尾之间,占胰的大部分。胰尾为伸向左上方较细的部分,触及脾门。脾切除术应注意勿伤及胰尾。

图6-3-10 胰、十二指肠
(二)胰管
胰管位于胰的实质内,贯穿胰全长,与胆总管汇合成肝胰壶腹,共同开口于十二指肠大乳头。在胰头内胰管上方常有一条副胰管,开口于十二指肠小乳头。
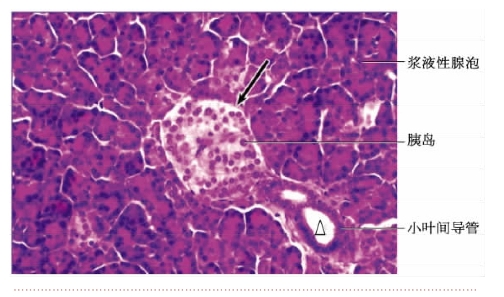
(三)胰腺的微细结构
胰腺实质由外分泌部和内分泌部(胰岛)组成(图6-3-11)。(https://www.daowen.com)

图6-3-11 胰腺微细结构
1.外分泌部
(1)腺泡:为浆液性腺泡,能分泌多种分解食物中营养物质的消化酶。在切片上可见腺泡的腔面有一些染色较浅的泡心细胞,与腺泡外闰管上皮相延续。
(2)导管:胰腺闰管较长,无分泌管。闰管汇合成小叶内导管,后者在小叶间结缔组织内汇合成小叶间导管,然后再汇集成一条贯穿胰腺全长的主导管,与胆总管在胰头部汇合,开口于十二指肠大乳头。
2.内分泌部——胰岛 由内分泌细胞聚集而成。胰岛大小不等,散在分布于外分泌部,细胞间有丰富的有孔毛细血管。HE染色显示胰岛细胞着色较浅。成人胰腺内约有100万个胰岛。人胰岛主要有A、B、D和PP 4种细胞。
(1)A细胞:约占胰岛细胞总数的20%,多分布于胰岛的周边部,分泌高血糖素。
(2)B细胞:约占胰岛细胞总数的75%,主要位于胰岛的中央部,分泌胰岛素。
(3)D细胞:约占胰岛细胞总数的5%,散在分布于A、B细胞之间,分泌生长抑素,作用于邻近的A、B细胞,抑制它们的分泌活动。
(4)PP细胞:数量少,除了分布在胰岛外,还可见于外分泌部的腺泡或导管上皮细胞之间。细胞分泌胰多肽。