三、淋巴器官
淋巴器官包括淋巴结、脾、胸腺和扁桃体等。(一)淋巴结
1.淋巴结的形态与功能 淋巴结是淋巴管向心行程中的必经器官,为大小不等的圆形或椭圆形小体,直径2~20 mm。其隆凸侧有数条输入淋巴管进入,而凹陷侧称淋巴结门,有1~2条输出淋巴管及血管、神经出入。淋巴结常聚集成群,亦有浅、深之分。四肢的淋巴结多位于关节的屈侧,内脏的淋巴结多位于器官的门附近或血管的周围。淋巴结的主要功能是过滤淋巴,产生淋巴细胞,参与机体的免疫活动。人体某区域或某器官的淋巴引流至一定的淋巴结,该淋巴结则被称为这个区域或器官的局部淋巴结。当局部有感染时,毒素、细菌、寄生虫或癌细胞等可沿淋巴管侵入相应的局部淋巴结,引起淋巴结肿大。若局部淋巴结不能阻截或清除它们,则病变可沿淋巴流向继续蔓延。所以了解局部淋巴结的位置、收纳范围及流注方向,对诊断和治疗某些疾病有重要意义。
2.淋巴结的组织结构 表面覆有薄层结缔组织被膜,结缔组织伸入实质形成小梁。小梁分支相互连成网,构成淋巴结的粗支架。数条输入淋巴管穿过被膜,进入被膜下淋巴窦。淋巴结的实质分为周围深染的皮质和中央浅染的髓质两部分(图10-6-6)。
(1)皮质:位于被膜下,由浅层皮质、深层皮质和淋巴窦组成。
1)浅层皮质:位于皮质浅层,由淋巴小结和小结间区组成,主要含B淋巴细胞。
2)深层皮质:又称副皮质区,为浅层皮质与髓质间的大片弥散淋巴组织,主要由T细胞组成,又称胸腺依赖区。
3)皮质淋巴窦:包括被膜下淋巴窦和小梁周窦。窦内有巨噬细胞,可清除淋巴内的异物。

图10-6-6 淋巴结组织结构

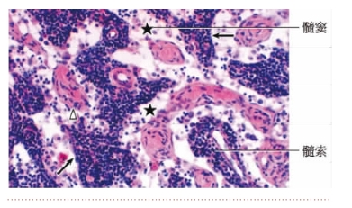
图10-6-7 淋巴结髓质
(2)髓质:位于淋巴结中央,由髓索和髓窦组成(图10-6-7)。髓索为索状的淋巴组织,彼此连成网,主要含B细胞、浆细胞、巨噬细胞和肥大细胞等。髓窦即髓质内的淋巴窦,其结构与皮质淋巴窦相似,但较宽大,腔内巨噬细胞较多,滤过作用强。髓窦与门部的输出淋巴管相通。
(3)淋巴结内的淋巴通路:淋巴由淋巴结周围的输入淋巴管导入被膜下淋巴窦,随后部分经小梁周窦直接通达髓窦;部分渗入皮质淋巴组织,由此向四周缓慢弥散,再进入髓窦,髓窦汇集淋巴进入门部的输出淋巴管,出淋巴结。
3.人体各部淋巴结的分布
(1)头颈部淋巴结:主要分布于颈内、外静脉周围与头、颈交界处(图10-6-8)。
1)下颌下淋巴结:位于下颌下腺附近,收纳面部和口腔器官等处的淋巴管,其输出淋巴管注入颈外侧深淋巴结。
2)颈外侧浅淋巴结:位于胸锁乳突肌的表面,沿颈外静脉排列,收纳枕淋巴结和乳突淋巴结等处的输出淋巴管,其输出淋巴管注入颈外侧深淋巴结(图10-6-8)。
3)颈外侧深淋巴结:沿颈内静脉排列,其中位于锁骨上方的部分,称锁骨上淋巴结。颈外侧深淋巴结的输出淋巴管汇合成颈干。左颈干注入胸导管,右颈干注入右淋巴导管。左颈干注入胸导管处通常无瓣膜,故胃癌或食管癌晚期的癌细胞可沿胸导管或左颈干逆行转移至左锁骨上淋巴结,可在锁骨上方触到硬而肿大的淋巴结(图10-6-8)。
(2)上肢淋巴结群:主要为腋淋巴结群,该淋巴结数目多,位于腋窝内,沿腋静脉及其属支排列,主要有胸肌淋巴结、外侧淋巴结、肩胛下淋巴结、中央淋巴结和尖淋巴结等,收集上肢、胸前外侧壁、乳房外侧部和肩部等处的淋巴。其输出淋巴管合成锁骨下干(图10-6-9)。

图10-6-8 头颈部淋巴结

图10-6-9 腋淋巴结群
(3)胸部的淋巴结群:位于胸壁内和胸腔脏器的周围,前者主要有胸骨旁淋巴结,后者主要有支气管肺门淋巴结。胸部淋巴结输出淋巴管分别汇合成左、右支气管纵隔干,然后分别注入胸导管和右淋巴导管(图10-6-10)。
(4)腹部的主要淋巴结:主要有腰淋巴结,腹腔淋巴结,肠系膜上、下淋巴结等(图10-6-11、图10-6-12)。
1)腰淋巴结:沿腹主动脉和下腔静脉排列,收纳腹后壁及腹腔内成对器官的淋巴管的淋巴。左、右腰淋巴结的输出淋巴管分别汇合成左、右腰干,注入乳糜池。
2)腹腔淋巴结和肠系膜上、下淋巴结:分别位于同名动脉起始部的周围,收纳同名动脉分布区域淋巴管的淋巴。它们的输出淋巴管汇合成肠干,注入乳糜池。
(5)盆部的主要淋巴结:主要有髂内淋巴结、髂外淋巴结和髂总淋巴结,分别沿同名动脉排列。髂内、外淋巴结分别收纳髂内、外动脉分布区域淋巴管的淋巴,它们的输出淋巴管注入髂总淋巴结,收集下肢、盆壁和盆腔脏器的淋巴,其输出淋巴管注入腰淋巴结(图10-6-13)。

图10-6-10 胸腔器官淋巴结
(https://www.daowen.com)
图10-6-11 胃淋巴结

图10-6-12 肠系膜上、下淋巴结

图10-6-13 盆部淋巴结
(6)下肢的淋巴结:主要是腹股沟浅淋巴结,位于腹股沟韧带下方和大隐静脉末端周围,引流腹前外侧壁下部、臀部、会阴和子宫底、下肢大部分浅淋巴管的淋巴。腹股沟浅淋巴结的输出淋巴管注入腹股沟深淋巴结或髂外淋巴结(图10-6-14)。
(二)脾
1.脾的位置和形态 脾是人体内最大的淋巴器官,位于左季肋区,胃底与膈之间,恰与第9~11肋相对,其长轴与第10肋一致。正常的脾在左肋弓下不能触及。活体脾为暗红色实质性器官,质软而脆,故左季肋区受暴力打击时易导致脾破裂。脾呈椭圆形,分为膈脏两面、前后两端和上下两缘。膈面光滑隆凸,与膈相贴。脏面凹陷,近中央处有脾门,为血管、神经出入之处。上缘较锐,有2~3个切迹,称脾切迹。脾肿大时,脾切迹是触诊脾的标志。下缘较钝,朝向后下方(图10-6-15、图10-6-16)。

图10-6-14 腹股沟淋巴结

图10-6-15 脾脏面

图10-6-16 脾的体表投影
2.脾的组织结构 脾的被膜较厚,由富含弹性纤维和平滑肌的致密结缔组织组成,外表光滑有间皮覆盖。被膜伸入实质内形成许多小梁,小梁相互连接成网,构成脾的粗支架。脾的实质可分为白髓、边缘区和红髓三部分(图10-6-17)。
(1)白髓:在新鲜脾的切面上,可见散在的灰白色小点,即白髓。白髓由动脉周围淋巴鞘和脾小结(淋巴小结)两部分组成(图10-6-18)。
1)动脉周围淋巴鞘:为弥散淋巴组织,围绕在中央动脉周围,由大量T细胞、巨噬细胞等构成,属胸腺依赖区。

图10-6-17 脾的组织结构(低倍镜)

图10-6-18 脾的组织结构(示白髓、边缘区)
2)淋巴小结:又称脾小结,位于动脉周围淋巴鞘一侧,部分嵌入动脉周围淋巴鞘内,主要由B细胞组成。
(2)边缘区:围绕白髓,为红、白髓间的移行部分,含T及B细胞,以B细胞为主,有少量红细胞,并含较多的巨噬细胞。边缘区是脾捕获、识别抗原并诱发免疫应答的重要部位。
(3)红髓:位于白髓之间、被膜下和小梁周围,在新鲜切面上呈暗红色。红髓由脾索和脾窦组成(图10-6-19)。

图10-6-19 脾的组织结构(示红髓)
1)脾索:由富含血细胞的索条状的淋巴组织构成,互相连成网状,脾索之间是脾窦,两者相间分布。脾索内主要含B细胞和浆细胞,少量T细胞、血细胞和巨噬细胞。脾索是过滤血液和产生抗体的重要部位。
2)脾窦:为脾内的血窦。血窦呈多孔的栏栅状结构,有利于血细胞的穿越。
3.脾的功能 具有滤过血液、产生免疫应答、造血和储血功能。
(王超美 王达荣)