六、汗腺

六、汗腺

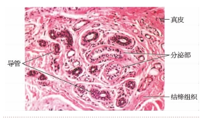
汗腺为单曲管状腺,遍布于身体大部分的皮肤中。分泌部由单层锥形细胞构成,腺细胞与基膜之间有肌上皮细胞,它的收缩有助于腺细胞排出汗液。导管部较细,开口于表皮汗孔。管壁常由两层小的立方形细胞组成(图11-4-4)。

图示

图11-4-4 汗腺光镜图(https://www.daowen.com)

大汗腺分布在腋窝、乳晕、阴部等处,产生特殊的分泌物,为较黏稠的乳状液,排出后受表面细菌的作用,产生特别的气味,过浓时称腋臭。

(张 娟 王超美)