五、内容和方法
1.淀粉粒
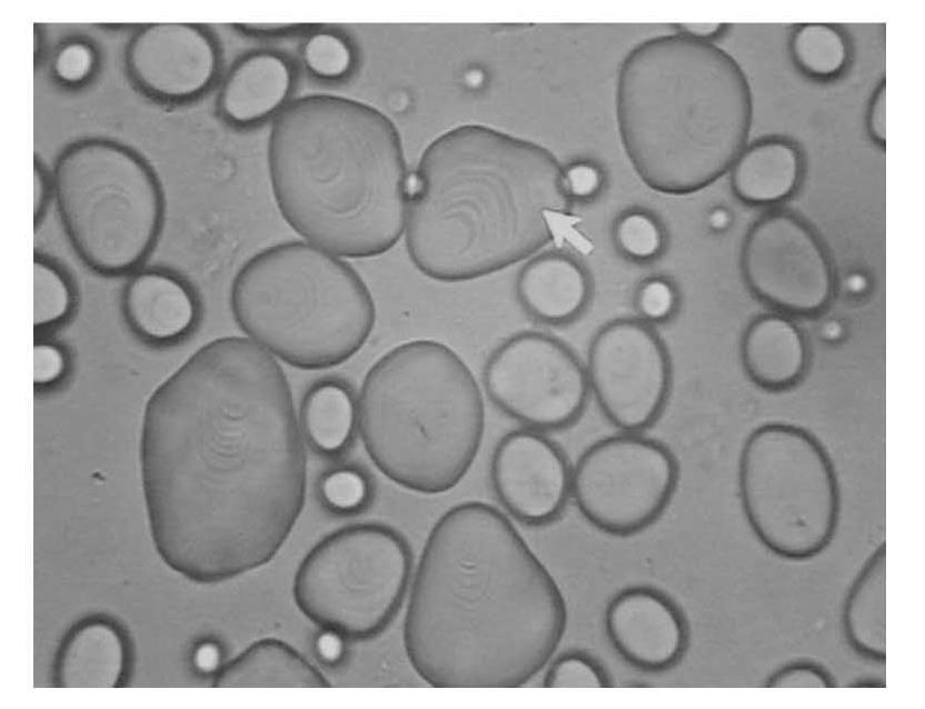
将土豆块茎切成长3~5 cm,横切面约为5 mm×5 mm的小条,运用徒手切片的方法将材料切成薄片,注意完整且厚度均一,越薄越好。将切下的薄片放到盛有清水的培养皿中,用毛笔挑选最薄的制成临时装片。装片后用显微镜观察,可见细胞内有许多卵形、发亮的颗粒,这就是淀粉粒。许多淀粉粒分散在整个细胞内,还有许多淀粉粒从薄片切口散落到水中,把视野调暗些,还可看见淀粉粒上有轮纹(图5-6和图5-7),如用碘液染色则淀粉粒都变成蓝色。
观察淀粉粒,并注意比较没有染色的淀粉粒和用稀碘液(0.2%I2-KI染液)染色后的淀粉粒的区别。
2.蛋白质和脂肪
用刀片将花生种子的一片子叶做横切一分为二,取一半再做徒手横切片并放入装水的培养皿中,用毛笔挑取最薄的切片做成临时装片。加盖玻片,再在临时装片的一侧滴入稀碘液,镜检观察糊粉粒和淀粉。在显微镜下,被染成淡黄色的圆球状颗粒就是蛋白质,即糊粉粒(图5-8),每个糊粉粒外为无定形蛋白,中间有1~2个球晶体或拟晶体;同时被染成紫蓝色的小颗粒就是花生子叶中的淀粉。在显微镜下对比观察蓖麻种子永久制片中的糊粉粒与淀粉粒。

图5-6 利用Freehand软件绘制的土豆淀粉粒

图5-7 土豆淀粉粒
在花生另一半子叶切面上刮取少许粉末做成临时装片,用1%苏丹Ⅲ染液染色,在酒精灯下微微加热,夏天室温较高时可不用加热,直接在显微镜下观察,细胞内或水溶液中有许多大小不等的球形及不规则的橙红色油滴,即脂肪(图5-9)。

图5-8 利用Core1DRAW软件绘制的蓖麻糊粉粒

图5-9 花生油滴
3.晶体
1)新鲜材料的晶体观察
(1)针晶:用镊子撕取鸭跖草(或吊竹梅、白花紫露草)一小块叶下表皮,用清水封片后加盖玻片,观察其薄壁细胞内的针形结晶体,细胞内的针晶多密集在一团(图5-10),有时也会被挤压到细胞外呈分散状(图5-11)。

图5-10 鸭跖草叶片中的针晶(细胞内)

图5-11 鸭跖草叶片中的针晶(细胞外)
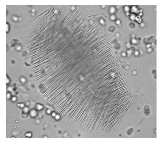
(2)簇晶:用刀片切取一薄片仙人掌的肉质茎,做成临时装片,观察其薄壁细胞内的结晶体(图5-12)。
(3)柱晶和方晶:取一小片薄且干的洋葱鳞茎,放在载玻片上,滴加清水,放上盖玻片做成临时装片,在高倍镜下可以看到洋葱细胞中长方形、正方形或多边形的单晶体(图5-13)。

图5-12 仙人掌肉质茎中的簇晶

图5-13 洋葱干鳞茎片中的晶体

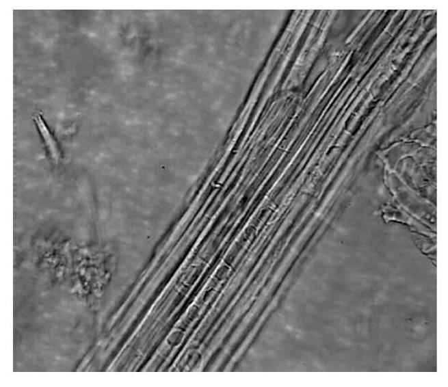
图5-14 甘草粉末中的晶鞘纤维
2)中药材粉末的晶体观察
用牙签分别挑取少许甘草粉末、射干粉末、半夏粉末和党参粉末,分别置于干净载玻片上,用水合氯醛封片,酒精灯上加热至微微冒热气后,加盖玻片,显微镜下观察甘草粉末晶鞘纤维中镶嵌的方晶(图5-14)、射干粉末中的柱晶、半夏粉末中的针晶、党参粉末中的菊糖等。