7.2.4 干旱胁迫对不同植物叶片超微结构的影响
4 种植物叶片叶肉细胞中各细胞器的形态结构有明显差异,而且不同干旱胁迫程度对叶绿体、线粒体及保卫细胞的超微结构影响不同。
7.2.4.1 对叶绿体超微结构的影响
在正常水分条件下,甘草叶肉细胞叶绿体呈狭长的半圆状,紧贴细胞边缘分布,结构完整,膜结构清晰,其中类囊体垛堞紧密而平整,基质片层数量较多,分布均匀且排列整齐,有少量嗜锇颗粒。随着土壤干旱胁迫程度进一步加剧,叶绿体超微结构呈现出不同程度的变化:叶绿体变短且发生不同程度的肿胀,T4 处理最为严重,膜结构逐渐变模糊;嗜锇颗粒数目增加,堆积分布,T4 处理中嗜锇颗粒数目最多,几乎充满整个叶绿体基质;出现淀粉粒,且体积逐渐增大;基质片层数目减少,出现部分凝集,T4 处理中类囊体结构模糊。
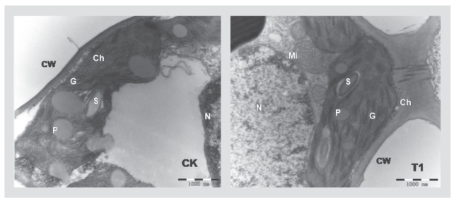
正常水分条件下,牛枝子叶肉细胞叶绿体呈半圆状或扭曲椭圆状紧贴细胞壁边缘分布,结构完整,膜结构清晰,其中类囊体垛堞紧密而平整,分布均匀,排列整齐,且有较大规则圆状颗粒分布,可能是嗜锇颗粒。干旱胁迫条件下,叶绿体形状开始发生变化,由原来的椭圆形变成半球形(T3、T4),基质片层排列方向发生改变,产生扭曲(T4)。受伤害较轻的叶绿体上,有一定排列顺序的片层结构仍能较清晰地观察到(T2)。伤害较重的叶绿体上类囊体小而模糊,嗜锇颗粒数量增加,体积变大(T4)。
正常水分条件下,短花针茅和蒙古冰草叶肉细胞叶绿体形状相似,呈较为规则的椭圆或梭形分布,结构完整,膜结构清晰,类囊体垛堞分布均匀且排列整齐。干旱胁迫条件下,叶绿体发生肿胀,形状由原来的椭圆形变成不规则扁圆形(7-4-c-T4)或不规则球形(7-4-d-T4),基质片层排列方向产生扭曲(7-4-c-T3、T4),色泽变浅(7-4-d-T4)。伤害较重的叶绿体上类囊体小而模糊(7-4-d-T4),嗜锇颗粒大量出现(7-4-c-T4)。
相比较而言,轻度和中度水分胁迫(T1、T2)对4 种植物的叶绿体形态结构的影响不明显,但在严重水分胁迫条件下(T3、T4)甘草和牛枝子的叶绿体形状结构变化大于短花针茅和蒙古冰草,短花针茅在T4处理下仍可见较清晰的基质片层,只是排列错位。








图7-4 4 种植物叶肉细胞叶绿体超微结构在不同干旱胁迫处理间与种间的差异变化
Fig 7-4 Changes and differents of chloroplast ultrastructure of mesophyll cells in 4 plant species under different drought stress treatments
Ch:叶绿体 Chloroplast ; Mi:线粒体 Mitochondrium ; G:基粒片层 Granalamellae ; S::淀粉粒 Starch grain; OG :嗜锇颗粒 Osmiophilic granule; P:脂质球体 Plastoglobulis; CW :细胞壁 Cell wall; N :细胞核 Nucleus
7.2.4.2 对线粒体超微结构的影响
4 种植物在正常水分条件下,线粒体多呈比较规则的球形和椭圆形散布在细胞质中,具有比较完整的双层膜结构。不同植物表皮细胞中线粒体数目各不相同,在同一视野下,甘草可明显看到18 个线粒体(图7-5-a-CK),牛枝子在叶绿体和核之间分布着4个线粒体(图7-5-b-CK),短花针茅可明显看到23 个线粒体(图7-5-c-CK),蒙古冰草也在叶绿体和核之间分布着9 个线粒体(图7-5-d-CK)。甘草和短花针茅的线粒体分布位置较集中。线粒体内部结构完整,嵴清晰可见,随机排列。
干旱胁迫条件下,各植物叶表皮细胞的线粒体结构也发生了不同程度的变化。甘草在严重胁迫处理下线粒体数目增多,T4 处理达23 个,嵴变大且排列紊乱,大部分线粒体未见明显的破裂现象,细胞质浅;部分线粒体内的嵴变得模糊,出现断裂(图7-5-a-T3),部分线粒体内外膜破裂,内含物流出,部分嵴消失(图7-5-a-T4);但发生变化的程度没有叶绿体大且相对滞后。牛枝子在严重胁迫处理下线粒体紧靠细胞边缘,夹挤在叶绿体和细胞核之间(图7-5-b-T4),T3 处理下线粒体较小,呈粒状分布,部分结构完整,T4 处理下线粒体较大,部分结构完整,部分扭曲变形,但膜未破裂。短花针茅在各干旱胁迫处理下线粒体数量仍然较多,在20 ~26 个(图7-5-c-T2、T3、T4),在T3 和T4 处理下,线粒体中嵴的形状仍旧清晰可见,但色泽变浅,少部分的膜破裂,内容物流出(图7-5-c-T4)。蒙古冰草的线粒体在T3 和T4 处理下呈粒状分布,数量增多,部分结构完整,部分扭曲变形(图7-5-d-T4)。


(https://www.daowen.com)




图7-5 4 种植物叶肉细胞线粒体超微结构在不同水分胁迫处理间与种间的差异变化
Fig 7-5 Changes and differents of mitochondrium ultrastructure of mesophyll cells in 4 plant species under different drought stress treatments
Ch:叶绿体 Chloroplast ; Mi:线粒体 Mitochondrium ; G:基粒片层 Granalamellae ; P:脂质球体 Plastoglobulis ; S :淀粉粒 Starch grain; CW :细胞壁 Cell wall; N :细胞核 Nucleus
7.2.4.3 对保卫细胞超微结构的影响
图7-6 显示,4 种植物叶表皮保卫细胞形态各异。临时装片观察发现,甘草叶片保卫细胞属于典型的肾状等厚壁型,两个保卫细胞对称排列。保卫细胞纵切超微结构表明,正常水分条件下,保卫细胞细胞壁呈现上侧细胞壁厚度大于下侧细胞壁厚度的现象,细胞内叶绿体、线粒体、细胞核等细胞器结构清晰可辨,形态正常,淀粉粒较多,气孔腔形态正常。在随着干旱胁迫的加重,保卫细胞体积逐渐变小,细胞壁发生不均匀的增厚现象,其中两个保卫细胞相对的细胞壁和上下两侧的细胞壁都发生连续的极度增厚现象(图7-6-a-T3、T4),原生质体体积逐渐缩小(图7-6-a-T2、T3、T4),淀粉粒逐渐解体,甚至消失,细胞核肿胀充满,气孔腔似细腰酒杯形而严重变形(图7-6-a-T4)。
临时装片观察可见牛枝子叶表皮保卫细胞呈对称排列的肾形球体。保卫细胞纵切超微结构结果表明,上下细胞壁厚,左右细胞壁相对较薄,细胞内有少量叶绿体、线粒体清晰可辨,细胞核内核质分布均匀,气孔呈开放状态。在中度至严重干旱胁迫条件下(图7-6-b-T2、T4),保卫细胞逐步变为一大一小,上下细胞壁增厚显著,且上侧细胞壁的增厚明显大于下侧细胞壁的增厚;原生质体变小,内容物里线粒体增多(图7-6-b-T4),细胞核破裂,核质分散(图7-6-b-T4),T4 处理下气孔呈缝形关闭状态。
短花针茅叶表皮临时装片观察发现,其气孔保卫细胞似2 个哑铃形对称分布。保卫细胞纵切超微结构结果表明,保卫细胞上下两侧细胞壁厚,而左右两侧细胞壁相对较薄,原生质体呈长卵形,细胞器清晰可辩,气孔腔形态正常。随着干旱胁迫条件的加重,保卫细胞体积逐渐缩小,上下两侧的细胞壁极度增厚,而左右两侧的细胞壁增厚不明显(图7-6-c-T2、T3、T4);原生质体逐渐变小,形状由原来的卵形变成细长形,线粒体增多,细胞核结构清晰(图7-6-c-T1、T2、T3、T4)。
观察蒙古冰草叶表皮临时装片结构,发现其气孔保卫细胞似2 个哑铃形对称分布。保卫细胞纵切超微结构表明,正常水分条件下,保卫细胞呈两侧对称,其中上侧细胞壁厚度明显大于下侧细胞壁。随着干旱胁迫的加重,保卫细胞体积逐渐缩小,其上下两侧细胞壁都逐渐加厚,但仍呈现出上侧细胞壁增厚大于下侧细胞壁增厚的现象,与短花针茅呈现不同的现象,表现为蒙古冰草仅靠近气孔腔的左右两侧细胞壁随干旱胁迫的加重而逐渐增厚(图7-6-d-T2、T3、T4);原生质体的体积呈现逐渐缩小的趋势(图7-6-d-T2、T3、T4),并严重变形,但线粒体增多,气孔腔关闭(图7-6-d- T4)。
从观察倍数看,甘草的气孔器最大,其次为牛枝子和蒙古冰草,短花针茅的气孔器最小,约为其他3 种植物的1/2 大小。








图7-6 4 种植物保卫细胞超微结构在不同干旱胁迫处理间与种间的差异变化
Fig 7-6 Changes and differents of guard cells ultrastructure in 4 plant species under different drought stress treatments
Ch:叶绿体 Chloroplast ; Mi:线粒体 Mitochondrium ; G:基粒片层 Granalamellae ; S :淀粉粒 Starch grain; N :细胞核 Nucleus