合成蛋白质的密码有误导致的分子病

合成蛋白质的密码有误导致的分子病

分子病

分子病是由遗传因素引起的一种疾病。DNA把“上一辈”的遗传密码传给“下一辈”,由RNA“翻译”出来并指导合成蛋白质。每种蛋白质都有自己特定的密码,从而使合成的蛋白质具有严格的氨基酸排列顺序的特定的空间结构,以完成各种生物功能。在遗传过程中,如果DNA把密码传递错了或者RNA把密码翻译错了,就会合成出与正常情况不同的蛋白质,就是说,蛋白质中氨基酸的排列顺序或者空间结构与正常的不一样,这就造成这种蛋白质的功能出现缺陷,甚至功能完全丧失。这种由遗传因素决定的蛋白质中氨基酸排列与正常不同所引起的病症,叫做分子病。

图示(https://www.daowen.com)

分子病

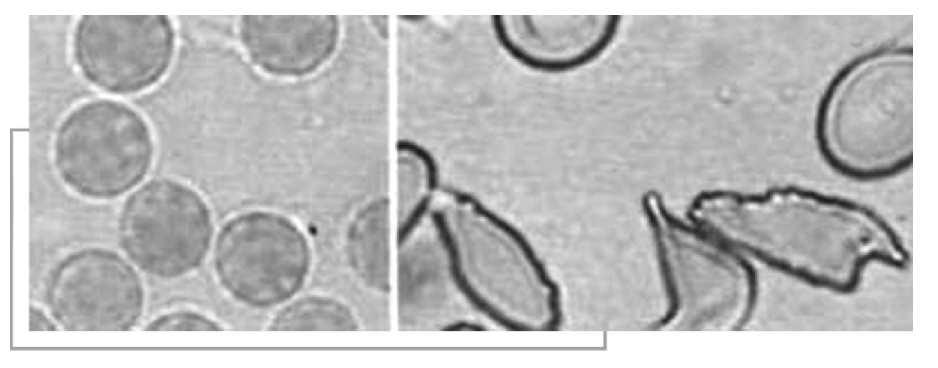
1910年,在非洲发现了一种贫血病,患者在缺氧的条件下,感到头昏、胸闷,严重的就死亡。科学家经过40年的研究,确认这种病叫“镰刀形红细胞贫血病”,是一种分子病。病因是正常血红蛋白上的两个谷氨酸被两个缬氨酸代替,产生了“有病”的血红蛋白。正常的红细胞是扁圆形的,在血管里负责运送氧和二氧化碳。“有病”的血红蛋白虽然也能完成这项任务,但是,“有病”的血红蛋白在红细胞中的数量增多时,它们会互相吸引,一个接一个地凝聚在一起,形成一条蛋白质链,使原来鼓鼓囊囊的红细胞变成了镰刀形。在缺氧条件下,镰刀形的红细胞容易破裂,使运氧机能遭到破坏,出现贫血症。根本原因是DNA上的CTT变成CAT。近年来,随着分子生物学的发展,分子病的研究有了较大进展。已查明结构上的血红蛋白分子病就有380多种,除了单个的碱基替换外,还发现了其他类型的DNA分子变化。另外,某些放射线、环境污染及地理因素引起的疾病,以及恶性肿瘤致病的原因都与DNA分子结构改变有关,其中,癌是常见的一种。通过对分子病的研究,可以对“不治之症”采用预防和治疗措施。”