什么是经皮肿瘤射频消融治疗?

27 什么是经皮肿瘤射频消融治疗?

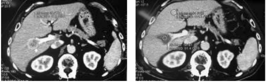
肿瘤经皮射频消融治疗是指在影像设备如超声、CT的引导下,无需开刀,将射频针准确地插入肿瘤内部,利用射频消融针的射频电磁波产热的作用,将肿瘤细胞“烧死”,起到杀灭肿瘤的作用。

射频消融仪和消融针

小肝癌的射频消融治疗前后图像对比,显示肝癌完全坏死