五、内容和方法
1.植物细胞基本结构的观察
在载玻片上滴一小滴水,用刀片在洋葱鳞茎内表皮轻轻切一个边长为3~5 mm的正方形并用镊子撕下表皮(或者用镊子撕下吊竹梅叶片的叶基部分的下表皮),将表皮浸入水滴内,表皮的外面应朝上。如果发生卷曲,应细心地用解剖针将它展开,并盖上盖玻片。
加盖玻片的方法是先从一边接触水滴,另一边用针顶住慢慢放下,以免产生气泡。如盖玻片内的水未充满,可用滴管吸水从盖玻片的一侧滴入;如果有气泡,可用镊子轻压盖玻片,将气泡赶出(或重新做一次)。如果水太多而渗出盖玻片,可用吸水纸将多余的水吸去。至此临时装片制成,接下来就可以进行镜检。
将临时装片置于显微镜下,先用低倍镜观察洋葱表皮细胞的形态和排列情况:细胞呈长方形,排列整齐、紧密。然后从盖玻片的一边加上一滴I2-KI染液,同时用吸水纸从盖玻片的另一侧将多余的染液吸去(另一种方法是把盖玻片取下,用吸水纸把材料周围的水分吸去,然后滴上一滴染料,经2~5 min,加上盖玻片即可)。细胞染色后,在低倍镜下选择一个比较清楚的区域,把它移至视野中央,再转换高倍镜仔细观察一个典型植物细胞的构造,如图5-1和图5-2所示,识别下列各部分。
(1)细胞壁:洋葱表皮每个细胞周围有明显界限,被I2-KI染液染成淡黄色(图5-1(a)),即为细胞壁。由于细胞壁是无色、透明的,因此观察时细胞上面与下面的平壁不易看见,而只能看到侧壁。
(2)细胞核:在细胞质中,可看到一个圆形或卵圆形的球状体,被I2-KI染液染成黄褐色,即为细胞核(图5-1(a))。细胞核内有一至多个染色较淡且明亮的小球体,即为核仁。幼嫩细胞,核居中央;成熟细胞,核偏于细胞的侧壁,多呈半球形或纺锤形。
(3)细胞质:细胞核以外,紧贴细胞壁内侧的无色透明的胶状物,即为细胞质(图5-1(b)),I2-KI染液染色后,呈淡黄色,但比壁还要浅一些。在较老的细胞中,细胞质是紧贴细胞壁的一薄层,在细胞质中还可以看到许多小颗粒,是线粒体、白色体等。
(4)液泡:液泡为细胞内充满细胞液的腔穴,在成熟细胞里,可见一个或几个透明的大液泡,位于细胞中央(图5-1(b))。注意在细胞角隅处观察,把视野适当调暗,反复旋转细调焦螺旋,能区分出细胞质与液泡间的界面。

图5-1 洋葱鳞茎表皮细胞结构图
在观察过程中,有的表皮细胞中看不到细胞核,这是因为在撕表皮时把细胞撕破,有些物质已从细胞中流出。
2.质体的观察
1)叶绿体
用镊子撕取吊竹梅(或菠菜、小白菜、新鲜木耳菜)叶片或斜切成小条形制成临时装片(图5-2),置于显微镜下观察。可见叶片的薄壁细胞中都有大量椭圆形的绿色颗粒状结构,即为叶绿体。在其他绿色植物的叶片中,也可看到不同形状的叶绿体。
用镊子撕取水生植物黑藻植株顶端的叶片,制成临时装片,置于显微镜下观察。可见叶片的薄壁细胞中都有大量椭圆形的绿色颗粒状结构,即为叶绿体。有的还可以观察到叶绿体在细胞内围绕细胞缓缓地不断移动。
2)有色体
用镊子撕取一小块红辣椒果皮,用刀片轻轻地刮去果肉,制成临时装片,置于显微镜下观察,可清楚地看到细胞质中有许多红色的小颗粒,即为有色体。
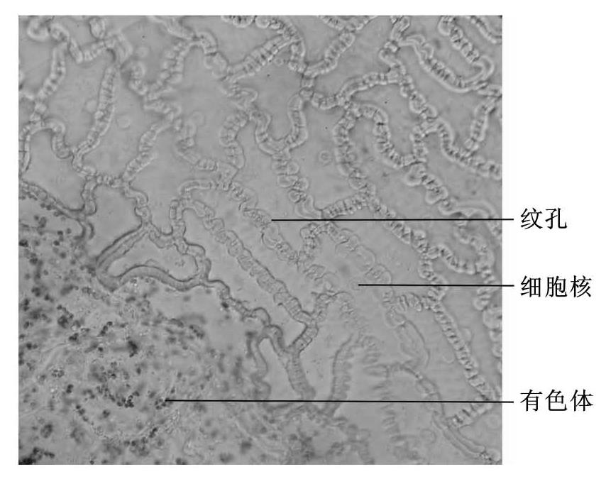
也可以用镊子直接撕取一小块红辣椒内果皮,放到载玻片的水滴上,盖上盖玻片,制成临时装片,置于显微镜下观察,可清楚地看到细胞质中有许多红色的小颗粒,即为有色体(图5-3)。同时在两细胞相邻的细胞壁上可看到一些呈念珠状的部位。在这些部位初生细胞壁上具有明显凹陷的区域,即为初生纹孔场(或称原纹孔)。相邻细胞的初生纹孔场常相对发生,胞间连丝穿过初生纹孔场沟通两个相邻细胞。

图5-2 叶绿体的制片

图5-3 辣椒内果皮的细胞上的初生纹孔场
3)白色体
白色体是不含色素的质体,所以无色。白色体多存在于植物的幼嫩细胞或不见光的细胞中,实验时可取大白菜菜心中黄色部位的叶片做徒手切片,或者撕取表皮,用蒸馏水装片,置于显微镜下观察,在细胞质中无色的颗粒即为白色体。

图5-4 柿胚乳制片
3.纹孔与胞间连丝
1)纹孔
在上述红辣椒果皮(图5-3)或洋葱鳞茎表皮制片中,均可在细胞侧壁上观察到两相邻细胞的细胞壁上呈念珠状的部位,在发生相对凹陷处即为单纹孔,注意观察其中是否有纹孔膜存在。
另取松茎离析管胞制片,在管胞壁上可见呈同心圆状的具缘纹孔。
2)胞间连丝
观察柿胚乳制片(图5-4),柿胚乳细胞呈多边形,可见胞间层较薄,色深,初生壁很厚,细胞腔很小,近于圆形(有时在制片过程中原生质体被洗掉而呈空白透明状,有些没洗掉的原生质体则呈深色凝聚状);在高倍镜下仔细观察,可见到相邻两个细胞壁上有许多胞间连丝穿过,这些胞间连丝是经过特殊染色加粗后显示出来的。