五、内容和方法
(一)双子叶植物叶片的结构
取新鲜蚕豆(或女贞、桃叶)叶片做横切简易装片(徒手切片,用土豆做夹持材料),对照观察蚕豆叶横切永久制片,在显微镜下观察双子叶植物叶片的结构(图5-38)。

图5-38 蚕豆叶横切面结构
(1)表皮:位于叶的最外层,有上、下表皮之分,各由一层排列紧密的细胞组成,下表皮一般分布有较多的气孔。估计视野中气孔的数目,并对同一叶片的上、下表皮上的气孔进行计数。
(2)叶肉:上、下表皮之间的薄壁组织,可分栅栏组织和海绵组织,内含叶绿体,为异面叶。栅栏组织位于上表皮之下,由含有叶绿体、排列紧密、长圆柱状的细胞构成。海绵组织位于栅栏组织的下方,与下表皮相接,由排列疏松、近圆形、含较小叶绿体的细胞组成。
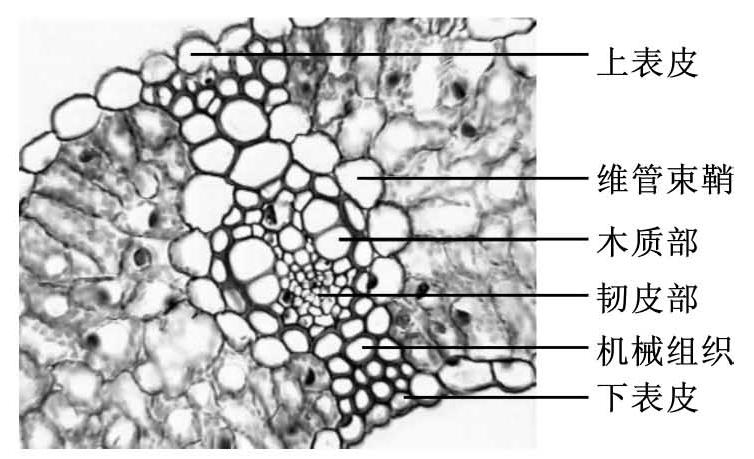
(3)叶脉:在叶肉中的维管束是叶脉,中央粗大的为主脉。一般由木质部和韧皮部组成,木质部在上,韧皮部在下。
(二)单子叶植物叶片的结构
取新鲜的小麦叶,做横切简易装片(徒手切片,用土豆做夹持材料),对照观察小麦叶横切永久制片,观察单子叶植物叶片的结构(图5-39和图5-40)。

图5-39 小麦叶横切面结构

图5-40 小麦叶横切面叶脉放大图
(1)表皮:由上、下表皮组成,其中分布有气孔和运动细胞,上、下表皮均有气孔,上表皮还有运动细胞,呈扇形排列。估计视野中气孔的数目,并对同一叶片的上、下表皮上的气孔进行计数。
(2)叶肉:无栅栏组织和海绵组织的分化,叶肉细胞都呈圆形,内含叶绿体。
(3)叶脉:由初生木质部与初生韧皮部组成,无形成层。
(三)裸子植物叶的结构
取新鲜雪松叶,做横切简易装片(徒手切片,用土豆做夹持材料),对照观察松针叶横切永久制片,可看到下列结构特征。
(1)表皮:由一层厚壁细胞组成,外面覆盖很厚的角质层,气孔生于表皮凹陷之内,有一对保卫细胞及副保卫细胞。气孔下面有一个较大的气室。估计视野中气孔的数目。表皮之下有1~3层厚壁组织细胞。
(2)叶肉:位于下皮层和内皮层之间,细胞壁向内形成许多突起,叶绿体沿着突起表面分布,以便增加受光面积,叶肉内可看到树脂道。
(3)维管束:位于内皮层之内,叶的中部,分为左、右两束,每束均包括木质部和韧皮部,在维管束和内皮层之间,有薄壁细胞围绕着,这些细胞称为转输组织。
(四)旱生植物叶片的构造
取新鲜夹竹桃叶片做横切徒手切片,除了可以观察到双子叶植物叶片的典型结构栅栏组织、海绵组织和叶脉以外,还可以观察到下列旱生植物叶片的结构特征(图5-41)。
(1)复表皮:由2~4层细胞构成,细胞排列紧密,有发达的角质层,特称复表皮。一般植物的表皮只有一层细胞。夹竹桃叶的表皮细胞具有较厚的角质膜,外层表皮起保护作用,内层细胞通常具有贮水作用,使植物更加适应干旱环境。
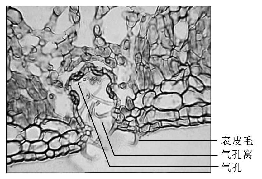
(2)气孔窝:由气孔和气孔周围的表皮毛构成。下表皮上有一部分细胞构成下陷的气孔窝,在下陷气孔窝里的表皮细胞常特化成表皮毛,气孔位于下表皮构成的气孔窝里,可以减少水分蒸腾(图5-42)。
(3)多层栅栏组织:多数植物叶肉的栅栏组织只有一层细胞,但夹竹桃叶的栅栏组织具有3~4层细胞,甚至靠近下表皮的叶肉也形成栅栏组织,海绵组织仅分布在叶片横切面的中部。

图5-41 夹竹桃叶片横切面结构

图5-42 夹竹桃叶横切面气孔窝