五、内容和方法
(一)地钱特征及生活史观察
地钱(Marchantia polymorpha)是苔纲的代表植物,实验前要进行活体材料的培养,方法是将地钱的胞芽置于潮湿的花盆内,盖上玻璃板保持湿度即可,地钱可长期生长。地钱活体培养方法详见上篇4.2节相关内容。
1.地钱植物体外部形态观察
取地钱植物体(配子体)活体材料(彩图4)观察,配子体为有背、腹之分的扁平的绿色的叶状体,呈二叉状分支。其腹向(近地面)具假根和紫红色鳞片。(如何区别地钱下表皮上的假根和鳞片?)背面绿色,表皮上有斜方形网纹,网纹中央有1个白点(气孔),具中肋,用放大镜观察中肋上的胞芽杯(彩图5),内着生有许多具短柄的绿色片状结构,即胞芽。
挑取胞芽,制作临时装片,观察胞芽的形态结构。胞芽繁殖是地钱最主要的营养繁殖方式。胞芽成熟后从短柄处脱落,进入土壤中萌发为新的植物体。(胞芽形成的新一代植物体是几倍体?其性别是什么?)
2.地钱配子体内部构造观察
取地钱叶状体做徒手切片或直接观察地钱配子体横切制片,观察上下表皮、气孔及气室、同化组织、薄壁组织、多细胞紫色鳞片及单细胞假根等结构。可以看到最上层是表皮,表皮下有一层气室,气室的底部有许多排列疏松的细胞,内含叶绿体,是地钱的同化组织。室与室之间有不含或微含叶绿体的细胞,成为两室的界限。每室的顶部中央有一个通气孔,孔的周围由数个细胞构成,通气孔无闭合能力。肉眼从叶状体背面看到的菱形网纹,即为气室的分界,气室以下是由多层细胞组成的薄壁组织,内含淀粉或油滴。
3.地钱雌生殖托和颈卵器
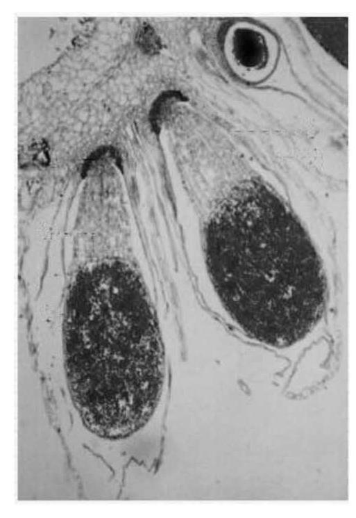
地钱配子体雌雄异株。分别观察雌、雄株上的生殖托,先从外部形态上区分雌生殖托(彩图6)。(如何区分地钱雌、雄生殖托?)将雌生殖托(图6-12)剪去托柄后置于解剖镜下,可以看到托盘顶有9~11条指状裂片,指状裂片下方倒挂着烧瓶状的颈卵器(图6-13),颈卵器可分为颈部和腹部,在高倍镜下可观察到颈卵器壁细胞和里面的颈沟细胞、腹沟细胞与卵细胞。

图6-12 地钱雌生殖托

图6-13 地钱颈卵器
4.地钱雄生殖托和精子器
用解剖镜观察雄生殖托(彩图7),顶面观可见许多小孔,即精子器腔的开口。观察精子器的形态结构(图6-14),精子器有一个短柄,呈卵形至椭圆形,形似网球拍,成熟精子器内有多数细长的具有双鞭毛的精子。
5.地钱孢子体形态
取带孢子体的雌生殖托于解剖镜下观察,可见孢子体呈黄色,生长在配子体上(图6-15)。取孢子体切片观察,可见孢子体由基足、蒴柄和孢蒴三部分组成。孢蒴内有细胞,有的经减数分裂后形成同型孢子,有的不经减数分裂伸长,细胞壁螺旋状加厚形成弹丝。孢蒴成熟后,顶端纵裂,借弹丝的弹动散发孢子。(你见到弹丝了吗?地钱的孢子是几倍体?结合上述观察,思考地钱的生活史。)
(二)葫芦藓的特征及生活史观察
葫芦藓(Funaria hygrometrica)是藓纲常见的植物。植物体高约2 cm,直立,丛生,有茎、叶的分化,实验之时先进行葫芦藓活体材料培养。

图6-14 地钱精子器

图6-15 地钱孢子体
1.葫芦藓植物体(配子体)观察
葫芦藓配子体为直立的茎叶体(彩图8),具假根及原始茎、叶分化。将其置于解剖镜下,依次辨识假根、拟茎和拟叶。茎短小,基部生有假根,叶丛生于茎的上部。叶螺旋排列在茎上,具中肋。取叶制作临时装片,置于显微镜下观察,除中肋外,叶仅由单层细胞组成。结合观察,思考为何苔藓植物可以作为环境监测指示物。
2.葫芦藓雌、雄枝观察
葫芦藓雌雄同株但不同枝(图6-16)。(如何识别葫芦藓雌枝和雄枝?)生殖季节,可肉眼辨别雌雄,雄枝顶端苞叶聚集成一朵“小花”,雌枝顶端苞叶包裹如芽。取葫芦藓雌、雄枝纵切制片,辨识苞叶、隔丝,观察颈卵器(图6-17)和精子器(图6-18)的数目、形态结构。(隔丝和苞叶有何作用?)

图6-16 葫芦藓雌、雄枝

图6-17 葫芦藓颈卵器

图6-18 葫芦藓精子器
3.葫芦藓孢子体观察
葫芦藓的孢子体分为基足、蒴柄和孢蒴三部分。基足插于配子体顶端的组织内,蒴柄细长坚挺,连接基足与孢蒴,孢蒴膨大呈葫芦形,其上还具蒴帽。取寄生在配子体枝端的孢子体,肉眼可观察到蒴柄、孢蒴与蒴帽这几部分结构。(蒴帽的来源是什么?)
取葫芦藓孢蒴,置于解剖镜下,用解剖针拨开蒴盖,观察环带与蒴齿,注意蒴齿的形态构造及数量。(蒴齿有什么作用?)然后将去除蒴盖的孢蒴进行纵切,进一步区分蒴壶、蒴台并重点观察蒴壶结构。最后取孢蒴纵切制片,与自己解剖的材料进行对照观察。通过观察,思考地钱与葫芦藓孢子体的异同点。
(三)常见苔藓植物标本观察
观察多种苔藓植物标本,进一步掌握苔类和藓类植物的特征,从而识别常见苔藓植物。