通过去除二倍型卵细胞中的一条X染色体得到雄性
2025年09月26日
通过去除二倍型卵细胞中的一条X染色体得到雄性
如上文所述,瘤蚜的雌虫在单性生殖末期出现,其卵细胞比早期所得的卵细胞小。在这个小卵细胞快要成熟之前,X染色体会聚集在一起(此处有4条X染色体)。有两条会从卵细胞中脱离出去,进入卵子所产生的第一个极体(如图134)。此时,每一条常染色体会一分为二,排出其中一条。这样,卵细胞内就会留下二倍数目的常染色体和半数的X染色体。卵细胞再通过单性繁殖,会发育成雄虫。

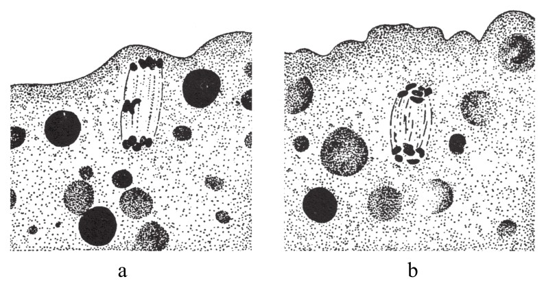
图134
图a为瘤蚜的成雄卵细胞第一次成熟分裂时的纺锤体。其中有2条染色体滞留在纺锤体上,最终从卵细胞中脱离出去,在卵细胞核中留下5条染色体。图b为雌性卵细胞中第一次减数分裂的极体,有6条染色体发生分裂,且在卵细胞核中留下6条染色体。
蚜虫也发生了类似的过程。虽然没有观察到一条X染色体从卵细胞中排出的确切证据,但由于卵细胞在排出唯一的极体后,便少了一条X染色体,那么毋庸置疑的是,它也像瘤蚜那样,确实遗失了一条染色体。
这两类昆虫的性别决定过程与其他昆虫的不同,但它们所遵循的也是同一性别决定机制,只不过是在不同形式下得到相同的结果。
更为有趣的是会产生成雄卵细胞[9]的瘤蚜雌虫,它所产出的卵细胞比单性生殖时产出的卵细胞小。因此,成雄卵细胞是否能存活,早在X染色体从卵细胞中排出之前就可定论了。在此,雌雄性别似乎取决于卵细胞的大小,也就是说,取决于卵细胞内胞质含量的多少。但这一猜测,却与事实相悖,因为卵细胞只有排出半数的X染色体才能成为成雄卵细胞。如果这些X染色体都保留在卵细胞内,我们也不知道会发生什么,或许这个卵细胞会发育为雌虫吧。无论如何,我们知道,是母体内的某种变化导致较小卵细胞(也称为小卵)的形成,而该小卵细胞导致X染色体的减少,继而得到雄虫。至于母体内的变化有何性质,目前我们还不知晓[10]。