4.2  打印系统

4.2 打印系统

图4.1所示为高分辨率电流体动力喷墨打印系统示意图。喷嘴与腔体之间通过毛细管相接,注射泵或气动压力调节器负责将腔体中的墨水提供给喷嘴,形成一个悬挂式墨水弯液面。毛细管喷嘴外包覆一层薄金属层作为电极应用于电场。印制基板安装在可以移动的导电板上,距离喷嘴下方约100μm。在电场作用下,喷墨开始时,导电板要接地。喷嘴内径范围为300nm~30μm,这些直径可以扩展到比商业用热或压电喷墨打印机更小的尺寸,甚至是纳米尺寸的液滴,有利于电场的集中。另外,从尖锐喷嘴头的集中电场所产生的低电压和电场分布相结合,可以将放置在基板上液滴的横向移动最小化。

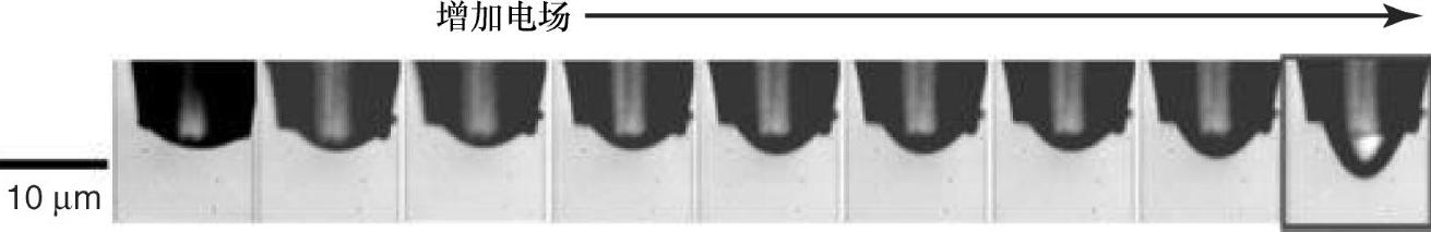
在电场作用下,移动电荷在喷嘴口的半球形液滴上聚集,相同极性电荷间的排斥力促使液体表面产生静电力,使液滴形状从半球形变为锥形(泰勒锥形),如图4.2所示[14,15]。在一定电场强度下,静电应力超过液体表面张力,极细的液柱从锥形顶点喷向印制基板[15]。在喷射过程中,电荷不断从喷嘴处流失,使得静电应力减小,毛细管喷嘴在自身压力作用下,液滴恢复为半球形(见图4.3)。虽然系统普遍使用直流电,但电荷的积累、锥形液滴的形成、喷射、液滴形状恢复等循环过程,都是以脉冲形式进行的。电压系统和打印平台的运动相结合,共同构成了电流体喷墨打印系统。

978-7-111-51584-5-Chapter04-1.jpg

图4.1 高分辨率电流体动力喷墨打印系统示意图

978-7-111-51584-5-Chapter04-2.jpg

图4.2 随电场增加液滴形状变化示意图

(引自参考文献[14]。Mishra et al.(2010),J.Micromech.Microeng.,20(9),095026,Copyright IOP Publishing Group)

978-7-111-51584-5-Chapter04-3.jpg

图4.3 电流体动力喷墨时液滴锥形随时间的变化及打印点效果图像