5.4.2 弥散张量成像原理与数据预处理
1.成像原理
DTI的本质就是通过磁共振成像的方法,把每一个体素的扩散系数分布(即扩散矩阵里各个分量的值)确定下来。矩阵中的元素有9个,但是独立的只有6个(矩阵关于对角线对称),所以这6个元素确定下来就可以完成DTI(以各向异性生物组织为例)。
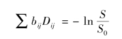
图5.22为测量扩散的梯度自旋回波序列时序图,根据磁共振成像原理,回波序列的信号为
![]()
式中,S为测得的信号强度;S0为没有扩散梯度时的信号强度;bij为沿着ij方向的磁敏感梯度。

图5.22 测量扩散的梯度自旋回波序列时序图
所以两边取对数:

公式右边的值可以确定,且bxx、byy、bzz、bxy、bxz、byz都是已知的,那么这一扩散矩阵D中的6个独立元素就可以唯一确定了。
在我们进行DTI时,如需确定扩散矩阵中的6个分量,只需把扩散敏感梯度加载到6个不共线的方向上(即6个不同b值构成的矩阵),得到6个加权像,再加上一个b=0的扩散加权像(T2WI),就可以解出扩散矩阵D。现在随着DTI技术投入临床使用,尤其是用于临床诊断,对于图像质量也有了越来越高的要求,对扩散方向、扩散成像脉冲序列的优化也越来越受到重视。如图5.23所示,在进行纤维追踪时通常会采用较多的磁敏感梯度方向。
2.数据预处理
我们在得到DTI数据后需要先进行预处理,才能进行后续的数据分析及脑白质结构网络构建,主要包括以下步骤。
格式转换:将从机器上采集得到的DICOM格式数据(后缀为.IMA或.dcm)转换成NIFTI(神经影像信息技术倡议)格式(后缀为.hdr/.img/.nii/.nii.gz)。
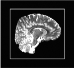
全脑掩膜(brain mask)估计:使用无扩散加权的b0图像通过FMRIB Software Library(FSL)的bet命令进行估计,从整个头部图像中剥离非脑组织,如图5.24所示。

图5.23 多个磁敏感图方向示意图(https://www.daowen.com)
裁剪原始图像:为了降低记忆成本,并在后续步骤中加快处理速度,剪裁掉原始图像中的非大脑空间,从而减小图像尺寸。获得的大脑模板被用来确定沿三维空间的大脑边界,如图5.25所示。

图5.24 剥离非脑组织

图5.25 原始图像剪裁
校正涡流效应:利用仿射变换将DW图像配准到b0图像上,可以校正扩散加权图像的涡流畸变和扫描过程中简单的头部运动,如图5.26所示。

图5.26 涡流校正
平均多次扫描:若是对于一位被试进行了多次扫描,需对多次扫描图像进行平均,如图5.27所示。

图5.27 平均多次扫描示意图
计算扩散张量矩阵:这一步涉及张量矩阵和指标的体素计算,包括各向异性比值(FA)、平均扩散率(MD)、轴向扩散率(AD)和径向扩散率(RD),如图5.28所示。
标准化:为了实现不同被试之间的比较,必须建立位置的对应关系。为此,需将所有图像注册到一个标准化模板中,如图5.29所示。

图5.28 基于体素的扩散指标示意图(书后附彩插)

图5.29 图像重采样与标准化