一、肾

图8-1-1右肾前面观
(一)肾的外形
肾是实质性器官,左、右各一,形似扁豆(图8-1-1)。新鲜肾呈红褐色,质柔软,表面光滑。
肾可分为上、下两端,前、后两面和内、外侧两缘。肾的上端和下端均较钝圆。前面较凸,朝向前外侧,后面较扁平,紧贴腹后壁。上端宽而薄,下端窄而厚。外侧缘隆凸;内侧缘中部凹陷称肾门,是肾盂、肾血管、神经和淋巴管出入的部位。出入肾门的结构被结缔组织包裹称肾蒂。肾蒂内主要结构的排列关系:自前向后依次为肾静脉、肾动脉和肾盂;自上向下依次为肾动脉、肾静脉和肾盂。由肾门伸入肾实质的凹陷称肾窦,内含肾血管、淋巴管、神经、肾大盏、肾小盏、肾盂及脂肪组织等。肾窦是肾门的延续,肾门是肾窦的开口。
(二)肾的位置
肾位于脊柱两侧,腹膜后间隙内,属于腹膜外位器官(图8-1-2)。左肾上端平第11胸椎体下缘,下端平第2腰椎体下缘,因受肝位置的影响,右肾较左肾低约半个椎体。第12肋斜越左肾后面的中部、右肾后面的上部。左、右两肾上端相距较近,下端相距较远。肾门约平第1腰椎平面。在腰背部,肾门的体表投影点在竖脊肌外侧缘与第12肋之间的夹角处,称肾区(肋脊角)(图8-1-3)。在肾疾病患者,叩击或触压该区时常可引起疼痛。肾的位置一般女性低于男性,儿童低于成人。

图8-1-2 肾的位置

图8-1-3 肾与椎骨、肋骨的位置关系
(三)肾的剖面结构
在肾的冠状切面上,肾实质可分为位于表层的肾皮质和深层的肾髓质(图8-1-4)。肾皮质厚1~1.5 cm,因富含血管而呈红褐色,主要由肾小体和肾小管组成。伸入肾锥体之间的皮质称肾柱。肾髓质约占肾实质厚度的2/3,血管较少,色淡红,由许多密集的肾小管组成。肾髓质形成15~20个呈圆锥形、底朝皮质、尖向肾窦、颜色较深呈放射状条纹的肾锥体。肾锥体的尖端圆钝,称肾乳头,并突入肾小盏内。肾乳头上有许多小孔称乳头孔,肾生成的尿液经乳头孔流入肾小盏内。肾窦内有7~8个呈漏斗形的肾小盏,其边缘包绕肾乳头。2~3个肾小盏合成一个肾大盏。每肾有2~3个肾大盏,再汇合成一个前后扁平、约呈漏斗状的肾盂。肾盂离开肾门向下弯行,在第2腰椎上缘水平,逐渐变细移行为输尿管。
(四)肾的被膜
肾自内至外有三层被膜,即纤维囊、脂肪囊和肾筋膜(图8-1-5、图8-1-6)。
1.纤维囊 纤维囊为紧贴肾实质表面的薄层坚韧致密的结缔组织膜,内含少量弹性纤维。正常情况下,易与肾实质剥离,但在病理情况下,则与肾实质发生粘连,不易剥离。

图8-1-4 右肾冠状剖面

图8-1-5 肾的被膜(平第1腰椎水平切面)

图8-1-6 肾的被膜(经右肾矢状切面)
2.脂肪囊 脂肪囊为包裹肾脏的囊状脂肪层,并通过肾门与肾窦内的脂肪组织相连续。脂肪囊对肾起弹性垫样的保护作用。临床上的肾囊封闭,就是将药液注入肾脂肪囊内。
3.肾筋膜 肾筋膜位于脂肪囊的外面,分前、后两层包裹肾及肾上腺。当腹壁肌力弱、肾周脂肪少、肾的固定结构薄弱时,可产生肾下垂或游走肾。肾积脓或肾周围炎症时,脓液可沿肾筋膜向下蔓延,达髂窝或大腿根部。
肾的正常位置除主要靠肾的被膜外,肾血管、腹膜、邻近器官的承托也起一定的作用。
(五)肾的组织学结构
肾实质主要由大量泌尿小管组成,泌尿小管间有少量结缔组织,为肾间质。泌尿小管为单层上皮围成的管道,包括肾单位和集合小管两部分(图8-1-7)。泌尿小管的组成见图8-1-8。
1.肾单位 肾单位是肾形成尿液的结构和功能单位,由肾小体和肾小管组成。每一肾脏约有100万个以上肾单位。(https://www.daowen.com)

图8-1-7 肾单位和集合小管模式图

图8-1-8 泌尿小管的组成
(1)肾小体:呈球形,有微动脉进出的一端为血管极,与近端小管相通连处为尿极(图8-1-9)。肾小体由肾小球和肾小囊组成。

图8-1-9 肾小体模式图
1)肾小球:为肾小体内的一团蟠曲的毛细血管,又称血管球。入球微动脉在血管极处进入肾小体,分支形成毛细血管襻,继而汇合成出球微动脉离开肾小体。通常入球微动脉的管径较出球微动脉的粗而短,故血管球内的血压较高,有利于血浆成分滤入肾小囊腔。电镜下,毛细血管为有孔型,孔上无隔膜覆盖(图8-1-10),内皮外大多有基膜包绕。
2)肾小囊:是肾小管起始端的球形双层盲囊,由壁层和脏层两层上皮细胞构成,两层上皮间的腔隙为肾小囊腔。壁层为单层扁平上皮。脏层由多突状的足细胞构成(图8-1-10),电镜下可见由胞体伸出几个大的初级突起,从初级突起又垂直发出大量指状的次级突起,相邻的次级突起相互穿插相嵌,呈栅栏状。次级突起间的间隙称裂孔,被裂孔膜覆盖。

图8-1-10 血管球毛细血管、足细胞、滤过膜模式图
当血液流经肾小球毛细血管时,由于毛细血管内血压较高,部分血浆物质通过有孔内皮、基膜和足细胞裂孔膜组成的滤过膜滤入肾小囊腔,形成滤液(原尿)(图8-1-10)。滤过膜对血浆成分具有分子大小和电荷的双重选择性通透作用。病理情况下,若滤过膜受损,大分子血浆蛋白甚至血细胞可漏出,出现蛋白尿或血尿。
(2)肾小管:由近端小管、细段和远端小管组成。
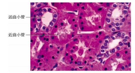
1)近端小管:是肾小管中最长和最粗的一段,约占肾小管总长的一半。近曲小管由单层立方或锥形细胞组成,体积较大,细胞分界不清,胞质强嗜酸性,细胞游离面有刷状缘,基部有纵纹(图8-1-11、图8-1-12)。电镜下可见细胞游离面有大量长而密集的微绒毛,构成光镜下所见的刷状缘。直部的结构与曲部的基本相似。
2)细段:管径较细,由单层扁平上皮围成,细胞着色较浅。
3)远端小管:较近段小管短,管壁为单层立方上皮(图8-1-12),细胞体积较小,胞质着色较浅,细胞分界较清晰,游离面无刷状缘,基底纵纹明显。电镜下观察,细胞游离面的微绒毛短而少。

图8-1-11 近端小管上皮细胞模式图

图8-1-12 肾小管光镜图
2.集合小管 集合小管分为弓状集合小管、皮质集合小管和髓质集合管(图8-1-7)。弓状集合小管较短,呈弓状由皮质迷路弯入髓放线,汇合为皮质集合小管,后者下行至肾锥体,改称为髓质集合小管。集合小管由皮质下行至髓质,上皮细胞由单层立方上皮渐变为单层柱状上皮。细胞着色清亮,分界清晰。
3.球旁复合体 球旁复合体位于肾小体血管极处,由球旁细胞、致密斑和球外系膜细胞组成(图8-1-13)。

图8-1-13 球旁复合体结构模式图
1)球旁细胞:是由入球微动脉管壁平滑肌细胞转变成的上皮样细胞。细胞体积较大,呈立方形,含分泌颗粒,颗粒内含有肾素。肾素可使血管平滑肌收缩,血压升高。
2)致密斑:位于远端小管行至肾小体血管极处,其朝向肾小体侧的上皮增高、变窄,形成椭圆形的斑样隆起,细胞呈高柱状,排列紧密,胞质着色浅。致密斑为钠离子感受器,能感受小管液的Na+浓度变化。
3)球外系膜细胞:位于肾小体血管极的三角区内,具有传递“信息”的作用。