一、内生殖器
(一)卵巢
1.卵巢的位置和形态 卵巢是位于盆腔内成对的实质性器官,呈扁卵圆形(图9-2-2),分为内、外侧面,前、后缘和上、下端。外侧面贴于盆腔侧壁的卵巢窝(相当于髂内、外动脉起始部之间的夹角处),内侧面朝向盆腔。上端借卵巢悬韧带连于盆壁,下端借卵巢固有韧带连于子宫底的两侧。卵巢后缘游离,前缘借卵巢系膜连于子宫阔韧带,前缘中部有血管、神经等出入,称卵巢门。

图9-2-2 女性内生殖器
卵巢的大小和形状随年龄的增长而变化,幼女的卵巢较小,表面光滑。性成熟期卵巢较大。此后由于多次排卵,卵巢表面形成瘢痕,显得凹凸不平。35~40岁开始缩小,50岁左右随月经停止而逐渐萎缩。
2.卵巢的组织学结构 卵巢(图9-2-3)表面覆有单层扁平或立方上皮。上皮下的白膜为一薄层致密结缔组织。卵巢分为皮质和髓质。周围的皮质宽厚,含有不同发育阶段的卵泡。中央的髓质狭窄,由富含血管和弹性纤维的疏松结缔组织构成。卵巢门处有血管出入,近卵巢门处有少量平滑肌和具分泌雄激素功能的门细胞。

图9-2-3 卵巢结构模式图
(1)卵泡的发育和成熟:卵泡由一个卵母细胞和包绕它的卵泡细胞组成。卵泡数量随年龄增长而减少。出生时,双侧卵巢约有100万个原始卵泡,至青春期仅余4万个。从青春期开始,在促性腺激素影响下,每28天左右可有1个卵泡成熟,并排卵。在整个性成熟期中有400~500个卵泡能达到成熟,其余卵泡均在不同发育阶段先后退化,退化的卵泡称闭锁卵泡,绝经期后卵巢内几乎没有卵泡。
在性成熟期,卵泡的生长发育是一个连续的过程,一般分为3个阶段(图9-2-4)。
1)原始卵泡:位于卵巢皮质浅层,数量多,呈球状。中央为1个大而圆的初级卵母细胞,周围是一层扁平的卵泡细胞。初级卵母细胞在胚胎期由卵原细胞分裂分化而成,核大而圆。卵泡细胞较小,核呈扁圆形(图9-2-5)。原始卵泡逐渐发育为初级卵泡。

图9-2-4 卵泡发育模式图

图9-2-5 原始卵泡模式图
2)生长卵泡:又分为初级卵泡和次级卵泡两个阶段:①初级卵泡:位于卵泡中央的初级卵母细胞体积增大。卵泡细胞由扁平变为立方或柱状,并迅速增殖为多层。卵泡细胞和卵母细胞共同分泌一种凝胶状的糖蛋白,在两者之间呈现为一层嗜酸性的厚膜,称透明带。围绕卵泡的毛细血管、梭形细胞和结缔组织分化形成卵泡膜,与卵泡细胞以基膜相隔(图9-2-6)。②次级卵泡:在促性腺激素刺激下,多层卵泡细胞之间出现一些含液体的不规则腔隙,此时初级卵泡改称次级卵泡(图9-2-7)。随着卵泡的发育增大,小腔逐渐融合成一个较大的卵泡腔,腔内充满卵泡液。卵泡腔的增大使初级卵母细胞及其周围的卵泡细胞被挤至卵泡的一侧,突向腔内,称卵丘。紧靠透明带的一层卵泡细胞为柱状,呈放射状排列,称放射冠。卵泡腔周围的卵泡细胞密集成数层,形成颗粒层。卵泡膜逐渐分化为界限不清的内、外两层。

图9-2-6 初级卵泡

图9-2-7 次级卵泡
3)成熟卵泡:为卵泡发育的最终阶段,体积显著增大,直径可达25 mm,向卵巢表面隆起。卵泡液剧增,卵泡腔扩大,使颗粒层变薄。在排卵前36~48 h,初级卵母细胞完成第一次成熟分裂,形成一个大的次级卵母细胞和一个很小的第一极体。次级卵母细胞迅速进入第二次成熟分裂,停滞在分裂中期。
卵泡发育过程中,颗粒层细胞和内膜细胞相互协作,合成和分泌雌激素。雌激素主要为雌二醇,主要作用是:①对生殖器官的作用:促进卵巢、输卵管、子宫以及阴道的生长发育,并维持其正常功能。若在青春期前雌激素过少,则生殖器官不能正常发育;雌激素过多,则会出现早熟现象。②对乳腺和副性征的影响:雌激素刺激乳腺导管和结缔组织增生,促进乳腺发育,并使全身脂肪和毛发分布具有女性特征,音调较高,骨盆宽大,臀部肥厚。③对代谢的作用:刺激成骨细胞的活动,而抑制破骨细胞的活动,加速骨的生长,促进钙盐沉积,并能促进骨骺软骨的愈合;促进肌肉蛋白质的合成;促进肾小管对水和钠的重吸收,增加细胞外液的量,有利于水和钠在体内的保留。因此雌激素对青春期的生长和发育起着重要的作用。
(2)排卵:在月经周期第14天,垂体释放促黄体素(LH)量急剧上升,促使成熟卵泡破裂,卵母细胞自卵巢排出,该过程称排卵。次级卵母细胞及其外周的透明带与放射冠随卵泡液一起从卵巢排出,被吸入输卵管伞部。若排卵后24 h内未受精,次级卵母细胞则退化;若与精子相遇受精,次级卵母细胞完成第二次成熟分裂,形成一个成熟的卵细胞和一个小的第二极体。
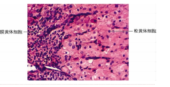
(3)黄体的形成和退化:排卵后,残留在卵巢内的卵泡壁塌陷形成一个暂存的内分泌细胞团,新鲜时呈黄色,故称黄体(图9-2-8)。由颗粒层细胞分化而成的粒黄体细胞呈多边形,胞体大,染色浅。细胞数量较多,分泌大量孕激素,主要为孕酮。来源于内膜细胞的膜黄体细胞体积较小,染色较深,数量较少。两种黄体细胞共同作用,产生一定量的雌激素。
孕激素的作用:由于孕酮受体含量受雌激素调节,因此孕酮的绝大部分作用都必须在雌激素作用的基础上才能发挥。①对子宫的作用:孕酮促使在雌激素作用下增生的子宫内膜进一步增厚,并发生分泌期的变化,有利于受精卵在子宫腔的生存和着床。它使子宫平滑肌对缩宫素的敏感性降低,防止子宫收缩,保持胚胎生长的环境。另外,孕酮使宫颈黏液减少而变稠,使精子难以通过。②乳腺:在雌激素作用的基础上,孕激素主要促进乳腺腺泡发育,并在妊娠后为泌乳作好准备。③产热作用:女性基础体温在排卵前先出现短暂降低,而在排卵后升高0.5℃左右,并在黄体期一直维持在此水平上,临床上常将这一基础体温的双相变化,作为判定排卵的标志之一。

图9-2-8 黄体局部光镜图
黄体的发育与排出的次级卵母细胞是否受精密切相关。若卵未受精,黄体维持两周即退化,称月经黄体。黄体细胞退化,由致密结缔组织瘢痕替代,形成白体。如果卵受精,在胎盘分泌的绒毛膜促性腺激素的作用下,黄体继续发育增大,直径可达5 cm,称妊娠黄体。它可维持6个月,以后也退化为白体,白体逐渐被巨噬细胞吸收。
(二)输卵管
输卵管是一对输送卵子的弯曲管道,长10~12 cm。连于子宫底的两侧,包裹在子宫阔韧带上缘内(图9-2-9)。其外侧端游离,以输卵管腹腔口开口于腹膜腔;内侧端连于子宫,以输卵管子宫口开口于子宫腔。故女性腹膜腔经输卵管、子宫、阴道可与外界相通。输卵管由内侧向外侧分为以下四部。

图9-2-9 女性内生殖器(冠状切面)
1.输卵管子宫部 为贯穿子宫壁的一段,以输卵管子宫口开口于子宫腔。
2.输卵管峡 紧接子宫底外侧,短而细,壁较厚,水平向外移行为输卵管壶腹。输卵管结扎术常在此部进行。
3.输卵管壶腹 管径粗而较长,约占输卵管全长的2/3,行程弯曲。卵细胞通常在此部受精。若受精卵未能移入子宫而在输卵管内发育,则为异位妊娠(宫外孕)。
4.输卵管漏斗 为输卵管外侧端的膨大部分,呈漏斗状。漏斗中央有输卵管腹腔口开口于腹膜腔,卵巢排出的卵细胞由此进入输卵管。漏斗末端的边缘形成许多细长突起,称输卵管伞,盖在卵巢的表面,手术时常以此作为识别输卵管的标志。
(三)子宫
子宫为一壁厚、腔小的肌性器官,胎儿在此发育成长。(https://www.daowen.com)
1.子宫的形态 成年未产妇的子宫略似前后稍扁的倒置梨形(图9-2-9),长7~8 cm,最宽径4~5 cm,厚2~3 cm。子宫形态可分为底、体、颈三部。两侧输卵管子宫口以上圆凸的部分为子宫底。下端呈细圆柱状的部分为子宫颈,子宫颈为肿瘤的好发部位。底与颈之间的部分为子宫体。子宫颈在成人长2.5~3.0cm,其下端伸入阴道内的部分称子宫颈阴道部。在阴道以上的部分称子宫颈阴道上部。子宫颈阴道上部的上端与子宫体相接,且较狭细称子宫峡。非妊娠期,子宫峡不明显,长仅1 cm;在妊娠期,子宫峡逐渐扩张伸长,形成子宫下段,妊娠末期可长达7~11 cm。产科常在此处进行剖宫取胎术,可避免进入腹膜腔,减少感染的机会。
子宫的内腔较狭窄,分上、下两部(图9-2-9)。上部由子宫底、子宫体围成,称子宫腔。子宫腔呈三角形,底向上,两侧角通输卵管;尖向下,通子宫颈管。子宫内腔的下部在子宫颈内,称子宫颈管。子宫颈管上口通子宫腔,下口通阴道称子宫口。未产妇的子宫口呈圆形,边缘光滑整齐;分娩后呈横裂状。
2.子宫的位置和固定装置 子宫位于盆腔的中央,在膀胱和直肠之间,下端凸入阴道,两侧连有输卵管和子宫阔韧带。成年未孕的子宫底位于小骨盆入口平面以下。子宫颈下端在坐骨棘平面稍上方。成年女性子宫的正常位置呈前倾前屈位。前倾是指整个子宫向前倾斜,子宫的长轴与阴道的长轴形成一个向前开放的钝角;前屈是指子宫体与子宫颈之间凹向前的弯曲,亦呈钝角。
维持子宫正常位置的韧带如下(图9-2-2、图9-2-10)。

图9-2-10 子宫主韧带和骶子宫韧带模式图(盆腔横切面)

图9-2-11 子宫壁结构模式图
(1)子宫阔韧带:是子宫两侧的双层腹膜皱襞,由子宫前后面的腹膜向盆侧壁延伸而成。其上缘游离,内包输卵管。子宫阔韧带可限制子宫向两侧移位。
(2)子宫圆韧带:起于子宫前面的上外侧,输卵管与子宫连接处的下方,在阔韧带前层腹膜的覆盖下向前外侧弯行,然后通过腹股沟管止于阴阜和大阴唇的皮下。此韧带是维持子宫前倾的主要结构。
(3)子宫主韧带:将子宫颈阴道上部连于骨盆侧壁,其主要功能是防止子宫下垂。
(4)骶子宫韧带:起自子宫颈阴道上部后面,向后绕过直肠两侧,止于骶骨前面。此韧带表面盖以腹膜,其主要功能是与子宫圆韧带共同维持子宫的前倾前屈位。
除上述韧带外,盆底肌和阴道的承托以及周围结缔组织的牵拉等因素,对子宫位置的固定也起很大作用。
3.子宫壁的组织结构 子宫壁从内向外分为内膜、肌层和外膜(图9-2-11)。
(1)内膜:由单层柱状上皮和固有层组成。上皮向固有层内陷形成许多管状的子宫腺,其末端近肌层处常有分支。固有层较厚,血管丰富,含有大量分化程度较低的基质细胞。
子宫底和体部的内膜可分成功能层和基底层。功能层较厚,位于浅层,自青春期起在卵巢激素的作用下发生周期性增生、肥厚、剥脱和出血;妊娠时为胚泡植入和孕育胎儿的部位。基底层较薄,位于内膜深处,无周期性剥脱变化,但可增生,修复内膜。
子宫动脉经外膜穿入子宫肌层,在内膜与肌层交界处,形成分支称基底动脉,分布于内膜基底层,它不受性激素的影响。基底动脉的主干螺旋状行走于功能层称螺旋动脉,它对于激素的作用很敏感。
(2)肌层:很厚,由大量成片或成束的平滑肌交织而成,富含血管。子宫平滑肌的收缩受激素调节。
(3)外膜:子宫底部与体部的外膜为浆膜,子宫颈部分为纤维膜。
4.子宫内膜周期性变化 自青春期起,在卵巢分泌的雌激素和孕激素的作用下,子宫底部和体部的功能层内膜出现周期性变化,表现为每隔28天左右发生一次内膜剥脱、出血、修复和增生的连续过程,称月经周期。每个周期是从月经第一天起至下次月经来潮的前一天止。
一般分为三期,即月经期、增生期和分泌期。月经周期具体变化特点见表9-2-1、图9-2-12、图9-2-13。
表9-2-1 月经周期卵巢、激素、子宫内膜特点变化


图9-2-12 子宫内膜周期性变化

图9-2-13 增生期、分泌期子宫内膜变化
A.增生期;B.分泌期
绝经后,卵巢功能退化,激素分泌停止,子宫内膜萎缩变薄,仅残留稀少而细小的腺体,不再出现周期性变化。
(四)阴道
阴道(图9-2-1)为前后略扁的肌性管道,连接子宫和外生殖器,是导入精液、排出月经和娩出胎儿的管道。阴道下端以阴道口开口于阴道前庭(图9-2-14)。阴道的上端较宽,包绕子宫颈阴道部,两者间形成的环形凹陷,称阴道穹。阴道穹分为前、后部和两侧部,以阴道穹后部为最深,并与直肠子宫陷凹紧密相邻,两者间仅隔以阴道后壁和腹膜。当直肠子宫陷凹有积液时,可经阴道穹后部进行穿刺或引流。阴道前壁邻膀胱和尿道,后壁邻直肠。

图9-2-14 女外阴
拓展视野
女性计划生育小常识
1.女性绝育手术 输卵管是输送卵子的管道和卵子受精的地方,女性绝育手术是在输卵管峡处将输卵管断开后结扎。结扎是一种很小的腹部手术,一般不会影响人体健康。一般正常育龄妇女多选择在月经干净后2~5天内进行绝育手术,因为在这段时间内怀孕的可能性很小。
2.宫内节育器 宫内节育器就是人为地在子宫腔内放置异物,多为金属环,抑制胚囊着床。有些避孕环内有避孕药和铜,起到增加避孕效果的作用。优点是方便,作用持久,安全有效。
3.自然避孕 女性排卵时间一般为月经周期的第14天左右,所以月经期前1周和月经期后1周是安全期,可达到自然避孕的目的。